Gallery
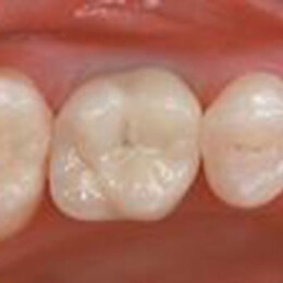
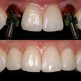
Welcome to our photo gallery! Here you will find examples of our past dental work. All the before and after pictures are meant to give you an idea of how our dentists can transform your smile. Our family dental office serves patients of all ages with reliable, quality dental services and technology.
For more information about our dental care, our practice, or for general questions, please contact us today at 304-343-9855. We look forward to welcoming you to our patient family!








